Google Rating
4.9
Google Rating
Before - Platinum Orthodontics Dental

Before

After - Platinum Orthodontics Dental

After

Case 1

To achieve this result Invisalign Clear Braces & Teeth Whitening has been used.

Read More
Before - Platinum Orthodontics Dental

Before

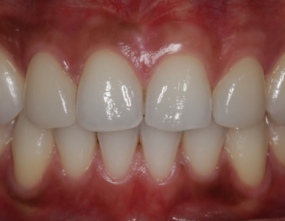
After - Platinum Orthodontics Dental

After

Case 2

To achieve this result, Invisalign Clear Braces & Teeth Whitening has been used.

Read More
Before - Platinum Orthodontics Dental

Before

After - Platinum Orthodontics Dental

After

Case 3

To achieve this result, Teeth Straightening has been used.

Read More
Before - Platinum Orthodontics Dental

Before

After - Platinum Orthodontics Dental

After

Case 4

To achieve this result, Teeth Straightening has been used.

Read More
Before - Platinum Orthodontics Dental

Before

After - Platinum Orthodontics Dental

After

Case 5

To achieve this result, Teeth Straightening has been used.

Read More

Get in Touch

Testimonials

google rating thumb2

“Customer care is exceptional. Service is of very high quality, even by international standards. The staffs are very…”

star 1 star 2 star 3 star 4 star 5

Catherine E

google rating thumb2

“Dental hygiene is supreme to me and I have always had pleasant dental work done cross Continents, and…”

star 1 star 2 star 3 star 4 star 5

Sidney A

google rating thumb2

“Clean, modern facility with highly courteous and professional staff. Highly recommended.”

star 1 star 2 star 3 star 4 star 5

Ofotsu A

google rating thumb2

“Platinum is Dental clinic I’d recommend without blinking an eye. Top notch customer services. I have been going…”

star 1 star 2 star 3 star 4 star 5

Perpetual L

google rating thumb2

“I really cannot fault platinum.The experience there makes even the most nervous patient relaxed. They are very proffesional.…”

star 1 star 2 star 3 star 4 star 5

Angela H

View all Testimonials
Treatment - Platinum Orthodontics dental

General Dentistry

Learn More
Treatment - Platinum Orthodontics dental

Cosmetic Dentistry

Learn More
Treatment - Platinum Orthodontics dental

Teeth Straightening

Book For A Consultation
Treatment - Platinum Orthodontics dental

Dental Implants

Learn More
Treatment - Platinum Orthodontics dental

Advanced Dentistry

Read more
Treatment - Platinum Orthodontics dental

Facial Aesthetics

Read more
View on Instagram
Google Rating